Разновидности болезни
Гипертензионный синдром делится на категории в зависимости от возраста пациента.
Таким образом, данное заболевание представлено тремя основными формами:
Гипертензионный синдром у детей.
- у новорожденных;
- у детей;
- у взрослых.
Чаще всего синдром наблюдается у новорожденных и связан с врожденными факторами. У детей и взрослых заболевание, как правило, имеет приобретенный характер.
Однако для каждой из этих групп существуют свои специфические факторы, которые непосредственно способствуют развитию болезни.
Врачи отмечают, что гипертензионный синдром является серьезной проблемой, требующей комплексного подхода к диагностике и лечению. Основными причинами этого состояния могут быть как первичные факторы, такие как генетическая предрасположенность и образ жизни, так и вторичные, связанные с заболеваниями почек или эндокринной системы. Для диагностики синдрома специалисты рекомендуют проводить регулярные измерения артериального давления, а также использовать дополнительные методы, такие как анализы крови и ультразвуковое исследование органов. Лечение включает как медикаментозную терапию, направленную на снижение давления, так и изменения в образе жизни, включая диету и физическую активность. Врачи подчеркивают важность индивидуального подхода к каждому пациенту, чтобы достичь оптимальных результатов и предотвратить осложнения.

Причины появления синдрома у новорожденных
Гипертензионно-гидроцефальный синдром у новорожденных может возникать по различным причинам. Рассмотрим основные из них:
- Усложнения, возникающие во время беременности, часто вызванные инфекциями или вирусами.
- Гипоксия плода.
- Нарушения в функционировании сердечно-сосудистой системы.
- Механические травмы плода во время родов.
- Задержка развития внутриутробно.
- Черепно-мозговые травмы, которые могут быть получены как в утробе, так и во время родов.
- Аномалии развития плода.
- Преждевременные или запоздалые роды.
- Обезвоживание плода, продолжающееся более 12 часов.
- Хронические заболевания матери.
| Причина гипертензионного синдрома | Методы диагностики | Методы лечения |
|---|---|---|
| Первичная (эссенциальная) гипертензия (причина неизвестна) | Измерение артериального давления (АД) неоднократно в разных условиях; анализ крови (биохимический, на липиды, глюкозу); электрокардиография (ЭКГ); эхокардиография; оценка функции почек; суточный мониторинг АД | Изменение образа жизни (диета, физическая активность, снижение стресса); лекарственная терапия (диуретики, бета-блокаторы, ингибиторы АПФ, блокаторы рецепторов ангиотензина II, антагонисты кальция) |
| Вторичная гипертензия (обусловлена конкретным заболеванием) | Выявление основного заболевания: анализ крови (на гормоны, электролиты); исследование функции почек; УЗИ почек и надпочечников; доплерография почечных артерий; КТ или МРТ надпочечников и почек; оценка уровня гормонов щитовидной железы | Лечение основного заболевания, вызвавшего гипертензию; в некоторых случаях – лекарственная терапия для контроля АД |
| Почечная гипертензия (из-за заболеваний почек) | Анализ мочи; анализ крови (креатинин, мочевина); УЗИ почек; доплерография почечных артерий; биопсия почки (в некоторых случаях) | Лечение основного заболевания почек; лекарственная терапия для контроля АД |
| Эндокринные нарушения (например, гипертиреоз, феохромоцитома, синдром Кушинга) | Анализ крови на гормоны (тиреоидные гормоны, кортизол, катехоламины); КТ или МРТ надпочечников; тесты на подавление кортизола | Лечение основного эндокринного заболевания; лекарственная терапия для контроля АД |
| Апноэ во сне | Полисомнография | CPAP-терапия; снижение веса; изменение образа жизни |
| Наследственные факторы | Семейный анамнез; генетическое тестирование (в некоторых случаях) | Лекарственная терапия для контроля АД; изменение образа жизни |
| Злоупотребление алкоголем и табаком | Анамнез; клиническое обследование | Отказ от вредных привычек; лекарственная терапия для контроля АД |
| Стресс | Психологическое обследование; оценка уровня стресса | Психотерапия; релаксационные техники; лекарственная терапия для контроля АД |
Причины появления приобретенного синдрома
Гипертензионный синдром у детей, как и у взрослых, имеет приобретенный характер. Часто его возникновение связано с церебральным параличом, который может быть сопутствующим диагнозом.
Основные причины этого состояния включают следующие факторы:
- Гематомы в области головного мозга или злокачественные опухоли в его структурах.
- Переломы черепа с проникновением осколков в мозг.
- Малярия.
- Паразитарные кисты.
- Повышенное внутричерепное давление.
- Последствия инсульта.
- Энцефалит.
- Метаболические нарушения.
Гипертензионный синдром вызывает множество обсуждений среди пациентов и врачей. Многие люди отмечают, что основными причинами этого состояния являются стресс, неправильное питание и малоподвижный образ жизни. Важно понимать, что диагностика включает не только измерение артериального давления, но и комплексное обследование, включая анализы и ЭКГ. Пациенты часто делятся опытом, что лечение может быть как медикаментозным, так и немедикаментозным: изменение рациона, физическая активность и отказ от вредных привычек играют ключевую роль. Однако, несмотря на доступность информации, многие все еще недооценивают важность регулярных проверок и консультаций с врачом, что может привести к серьезным осложнениям.

Как определить заболевание?
Перед тем как поставить этот диагноз, важно понимать, что собой представляет гипертензионный синдром и как он проявляется. К его симптомам относятся два состояния, которые могут возникать как при гипертензии, так и при гидроцефалии.
Гипертензия характеризуется повышением внутричерепного давления, тогда как гидроцефалия представляет собой увеличение объема ликвора в головном мозге.
К основным симптомам гипертензионного синдрома у новорожденных можно отнести:
- плохую реакцию на грудное вскармливание и отказ от него;
- беспричинные стоны и плач;
- заметное снижение мышечного тонуса;
- отсутствие выраженного глотательного рефлекса;
- тремор или судороги конечностей;
- изменения в глазах – отек глазных яблок, косоглазие, наличие белой полосы между зрачком и верхним веком, скрытая радужка за нижним веком;
- напряжение в области родничка;
- быстрое увеличение диаметра головы, достигающее 1 см в месяц.
У детей гипертензионно-гидроцефальный синдром проявляется несколько иначе:
- сильные головные боли по утрам;
- тошнота и рвота;
- затрудненное движение глаз и боли при повороте головы;
- бледность кожи и постоянная слабость, приводящая к головокружению;
- мышечные боли и нарушения в работе вестибулярного аппарата;
- боязнь яркого света и громких звуков;
- снижение памяти, концентрации и мыслительных процессов.
У взрослых гипертензионный синдром проявляется практически так же, как и у детей. В дополнение к вышеуказанным симптомам у этой группы людей могут наблюдаться ухудшение зрительной функции и сознания, резкие головные боли и рвота, что в итоге может привести к судорогам. В редких случаях может наступить кома.
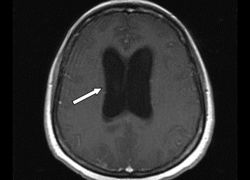
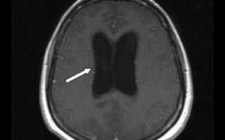
Диагностирование заболевания
Определить наличие синдрома крайне сложно, а установить диагноз с абсолютной уверенностью практически невозможно. Врожденный синдром определяется корректностью функционирования рефлексов и размерами окружности головы. Для подтверждения или выявления его у детей и взрослых проводятся обследования глазных сосудов, томографические исследования, ультразвуковая диагностика, а также пункция спинномозговой жидкости.

Лечение симптома у новорождённых и детей
Ликворно-гипертензионный синдром требует индивидуального подхода к лечению, который варьируется в зависимости от группы пациентов.
Новорожденные должны регулярно посещать невролога до достижения одного года. В случае наличия определенных показаний этот срок может быть увеличен. Врач, основываясь на степени выраженности заболевания и его симптомах, разрабатывает необходимую терапию.
В лечение могут входить препараты, способствующие выведению избыточного ликвора, такие как Триампур и Глицерол. Также важно назначение средств, которые поддерживают тонус сосудов, например, Эскузан.
Дополнительно могут быть рекомендованы седативные средства или натуральные травы и их настои, такие как пустырник, валериана, мята и другие.
Часто причиной синдрома становится нарушение в работе нервной системы. Несмотря на назначенное лечение, для профилактики и восстановления молодым родителям следует обеспечить ребенку правильный режим сна и питания, регулярные прогулки на свежем воздухе, а также минимизировать воздействие раздражителей и инфекций. При соблюдении всех рекомендаций и лечения уже через 6 месяцев возможно нормализовать внутричерепное давление, которое в дальнейшем будет оставаться в пределах нормы.
Дети старшего возраста должны проходить консультацию у детского невропатолога не реже двух раз в год. В ходе этих визитов осуществляется измерение глазного дна и назначается рентген черепа. После перенесенной черепно-мозговой травмы или при наличии воспалительных процессов в головном мозге или его оболочках требуется наблюдение и лечение в диспансере.
Методы лечения взрослых
Лечение взрослых пациентов также имеет огромное значение, поскольку запущенные заболевания могут представлять опасность не только для здоровья, но и для жизни. Длительное воздействие высокого артериального давления нарушает нормальное функционирование мозга, что может привести к снижению умственных способностей и даже к сбоям в нервной регуляции внутренних органов. Часто это сопровождается гормональными нарушениями.
Терапия гипертензии у взрослых включает использование диуретиков, которые способствуют улучшению выделения ликвора и его реабсорбции. Лечение обычно проводится курсами, а в случае осложненных форм препараты следует принимать еженедельно. При легких формах заболевания возможно лечение без медикаментов.
Тем не менее, для этого важно придерживаться ряда рекомендаций:
- установить правильный питьевой режим;
- выполнять комплекс специальных физических упражнений, направленных на снижение внутричерепного давления;
- устранить избыточное венозное давление в голове с помощью остеопатии или мануальной терапии.
В редких случаях гипертензия может представлять серьезную угрозу для здоровья человека. В таких ситуациях может потребоваться хирургическое вмешательство. Операция включает в себя установку шунтов, которые обеспечивают отток ликвора из головного мозга. Это приводит к постепенному уменьшению симптомов заболевания и, в конечном итоге, к его полному устранению.
Обращение к врачу при первых признаках болезни всегда является верным шагом. Если начать лечение своевременно, заболевание не успеет перейти в хроническую или тяжелую форму.
Соблюдение рекомендаций врача и выполнение назначенной схемы лечения помогут вам быстро вернуться к привычному образу жизни, свободному от этой болезни.
Вопрос-ответ
Что такое гипертензионный синдром и как он проявляется?
Гипертензионный синдром — это состояние, характеризующееся повышением артериального давления, которое может быть вызвано различными факторами, включая стресс, заболевания почек или эндокринные расстройства. Основные проявления включают головные боли, головокружение, одышку и усталость.
Какие методы диагностики используются для выявления гипертензионного синдрома?
Для диагностики гипертензионного синдрома врачи используют несколько методов, включая регулярное измерение артериального давления, анализы крови и мочи, а также ультразвуковое исследование сердца и почек. В некоторых случаях может потребоваться мониторинг давления в течение суток.
Каковы основные подходы к лечению гипертензионного синдрома?
Лечение гипертензионного синдрома включает изменение образа жизни, такое как снижение потребления соли, регулярные физические нагрузки и отказ от курения. В некоторых случаях могут быть назначены медикаменты, такие как диуретики, бета-блокаторы или ингибиторы АПФ, в зависимости от причины и степени тяжести состояния.
Советы
СОВЕТ №1
Регулярно измеряйте артериальное давление. Это поможет вам отслеживать изменения и своевременно выявлять гипертензионный синдром. Используйте качественные тонометры и записывайте результаты, чтобы обсудить их с врачом на следующем приеме.
СОВЕТ №2
Обратите внимание на свой образ жизни. Сбалансированное питание, регулярные физические нагрузки и отказ от вредных привычек, таких как курение и избыточное потребление алкоголя, могут значительно снизить риск развития гипертензии.
СОВЕТ №3
Не игнорируйте стресс. Научитесь управлять стрессом с помощью медитации, йоги или других методов релаксации. Это может помочь снизить уровень стресса и, как следствие, артериальное давление.
СОВЕТ №4
Регулярно посещайте врача для профилактических осмотров. Это позволит вам получать своевременные рекомендации по диагностике и лечению гипертензионного синдрома, а также контролировать состояние здоровья в целом.



