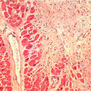
Как это выглядит
В нормальном состоянии миокард, или сердечная мышца, имеет плотную структуру и состоит из кардиомиоцитов — специализированных клеток, которые обеспечивают сокращение сердца и поддерживают его ритмичность.
При наличии атеросклероза, инфекций или ревматических заболеваний в миокарде могут образовываться участки, лишенные крови, которые страдают от длительного недостатка кислорода и в конечном итоге подвергаются некрозу (отмиранию).
На мертвых участках кардиомиоциты погибают, и их место занимает соединительная ткань, которая визуально проявляется в виде рубцов. Эти рубцы препятствуют нормальному кровоснабжению сердечных сосудов, так как соединительная ткань выполняет только защитные функции.
Таким образом, развивается атеросклеротический кардиосклероз и другие формы рубцевания миокарда.
Кардиосклероз представляет собой серьезное заболевание, которое вызывает значительное беспокойство среди врачей-кардиологов. Специалисты отмечают, что это состояние связано с замещением нормальной сердечной ткани соединительной, что приводит к ухудшению функции сердца. Врачи подчеркивают важность ранней диагностики, так как симптомы могут быть неявными и проявляться лишь на поздних стадиях. Регулярные обследования и контроль факторов риска, таких как гипертония и диабет, играют ключевую роль в профилактике кардиосклероза. Лечение включает как медикаментозную терапию, так и изменения в образе жизни, что требует комплексного подхода. Врачи настоятельно рекомендуют пациентам следить за своим здоровьем и обращаться за медицинской помощью при первых признаках сердечно-сосудистых заболеваний.

Классификация и причины
Кардиосклероз представляет собой совокупность склеротических изменений, возникающих в сердечной мышце в результате:
- Ишемической болезни сердца (ИБС);
- Инфаркта миокарда;
- Перенесенного миокардита – острого воспалительного процесса в тканях сердца.
С учетом указанных причин в кардиологии выделяют несколько типов кардиосклероза:
- Диффузный;
- Постинфарктный;
- Постмиокардический.
| Стадия кардиосклероза | Клинические проявления | Методы диагностики |
|---|---|---|
| Компенсированная | Отсутствие или минимальные симптомы (легкая одышка при физической нагрузке, незначительные боли в грудной клетке) | ЭКГ (неспецифические изменения), ЭхоКГ (умеренное утолщение миокарда), рентгенография грудной клетки (незначительные изменения) |
| Субкомпенсированная | Умеренная одышка при физической нагрузке, боли в грудной клетке, сердцебиение, отеки нижних конечностей | ЭКГ (более выраженные изменения), ЭхоКГ (увеличение размеров сердца, снижение фракции выброса), рентгенография грудной клетки (увеличение размеров сердца), нагрузочные пробы |
| Декомпенсированная | Выраженная одышка в покое, приступы удушья, сильные боли в грудной клетке, отеки нижних конечностей и других частей тела, нарушение ритма сердца, печеночная недостаточность | ЭКГ (значительные изменения), ЭхоКГ (выраженное увеличение размеров сердца, значительное снижение фракции выброса), рентгенография грудной клетки (значительное увеличение размеров сердца), нагрузочные пробы, коронарография, биопсия миокарда |
Диффузный кардиосклероз
Диффузный кардиосклероз представляет собой равномерное разрушение и рубцевание миокарда, которое со временем охватывает все сердце. Существуют две основные формы этого состояния: крупноочаговая и мелкоочаговая.
Главной причиной возникновения данной патологии является ишемическая болезнь сердца, которая развивается на фоне атеросклероза сосудов или воспалительных процессов в миокарде.
Мелкоочаговый диффузный кардиосклероз возникает из-за коронарной недостаточности, то есть заболевания венечных сосудов сердца, которое длится продолжительное время.
К крупноочаговым формам относятся склеротические изменения, возникающие в результате ишемической болезни сердца. Эти изменения характеризуются образованием значительных участков некроза в сердечной мышце.
Симптоматика диффузного кардиосклероза не имеет ярко выраженных признаков, что затрудняет его раннюю диагностику:
- Одышка, которая сначала проявляется при физической нагрузке, а затем возникает даже в состоянии покоя и в положении лежа;
- Сухой кашель, возникающий при нагрузках и в положении лежа;
- Отечность ног, которая сначала появляется к вечеру на лодыжках, а с прогрессированием заболевания распространяется на голени;
- Мышечная слабость;
- Изменения в трофике (упругости) мышц ног.
Для диагностики заболевания применяются кардиограмма, ультразвуковое исследование сердца и магнитно-резонансная томография, которые позволяют выявить увеличение левого желудочка, аритмию и участки сердца, пораженные склерозом.
Лечение направлено на терапию ишемической болезни сердца с целью замедления прогрессирования заболевания и уменьшения количества пораженных участков, а также на контроль аритмии и хронической сердечной недостаточности.
В программу лечения обязательно включается специальная диета, которая помогает снизить уровень вредного холестерина в крови и нормализовать артериальное давление. Она состоит из растительной пищи, каш из цельных злаков, неострых соусов, хлеба грубого помола, а также витаминизированных домашних напитков, таких как компоты, травяные отвары и соки.
Кардиосклероз — это заболевание, о котором многие слышали, но не все понимают его серьезность. Люди часто делятся своими переживаниями и опытом, связанным с этой болезнью. Некоторые отмечают, что кардиосклероз может развиваться незаметно, и первые симптомы, такие как одышка или усталость, могут быть ошибочно приняты за обычное переутомление. Другие рассказывают о том, как важно своевременно проходить обследования и следить за состоянием сердца, особенно если в семье были случаи сердечно-сосудистых заболеваний. Многие пациенты подчеркивают, что изменение образа жизни, включая правильное питание и физическую активность, может значительно улучшить качество жизни. В то же время, некоторые выражают опасения по поводу недостатка информации и поддержки со стороны медицинских работников. В целом, обсуждения о кардиосклерозе подчеркивают важность осведомленности и профилактики, а также необходимость заботы о здоровье сердца.

Постинфарктный кардиосклероз
Постинфарктный кардиосклероз, как следует из его названия, развивается после перенесенного инфаркта миокарда. Этот процесс часто становится результатом эмболии коронарных сосудов, их спазмов или атеросклеротических изменений. В некоторых случаях инфаркт может возникнуть как осложнение после хирургического вмешательства, связанного с перевязкой артерии.
Независимо от причины, вызвавшей инфаркт, постинфарктный кардиосклероз приводит к изменениям в структуре сердечных тканей и размерах его полостей, что значительно усиливает проявления симптомов.
Симптоматика заболевания схожа с проявлениями кардиосклероза, развившегося на фоне ишемической болезни сердца, но выражена более ярко:
- Одышка даже в состоянии покоя;
- Учащенное сердцебиение (тахикардия);
- Аритмия, проявляющаяся в виде мерцательной аритмии предсердий и экстрасистолии; в самых тяжелых случаях может наблюдаться рецидивирующая желудочковая тахикардия, которая часто приводит к летальному исходу;
- Цианоз губ, вызванный анемией и длительным кислородным голоданием;
- Значительные отеки в области живота, сердца и грудной клетки (асцит, гидроперикард, гидроторакс).
Для диагностики постинфарктного кардиосклероза применяются ЭКГ, эхокардиография, позитронно-эмиссионная томография (ПЭТ) и ангиография.
Эти методы позволяют оценить процент замещения тканей миокарда, степень сужения коронарных артерий и определить фракцию выброса левого желудочка.
Оценка фракции выброса левого желудочка помогает прогнозировать дальнейшее течение и исход заболевания.
Лечение постинфарктного кардиосклероза направлено на предотвращение распространения некроза на другие участки сердца, так как восстановить жизнеспособность мертвых тканей уже невозможно.
Пациентам также рекомендуется строгая диета и полный отказ от вредных привычек и физических нагрузок.
Постмиокардический кардиосклероз
Сердечная мышца может подвергаться воздействию не только атеросклероза, но и различным инфекциям, ревматическим атакам, диффузным заболеваниям соединительных тканей, а также аллергическим реакциям на определенные вакцины, сыворотки и медикаменты.
Под воздействием этих факторов развивается миокардит — воспалительный процесс в сердечной мышце. Симптомы миокардита могут включать боли в области сердца, аритмии, тахикардию, одышку и незначительное, но постоянное повышение температуры. В некоторых случаях заболевание может протекать без ярко выраженных признаков.
Существует также идиопатическая форма миокардита, которая иногда имеет злокачественное течение, приводящее к кардиомегалии — значительному увеличению сердца из-за расширения его границ.
Если к вышеописанным симптомам добавляется образование тромбов в полостях сердца, а также в большом и малом круге кровообращения, это может привести к постмиокардическому кардиосклерозу — серьезному осложнению, возникающему на фоне текущего или недавно перенесенного миокардита.
Эта форма склеротического поражения миокарда проявляется следующими симптомами:
- Одышка;
- Ночной сухой кашель, который со временем может сопровождаться выделением мокроты;
- Тахикардия;
- Аритмия;
- Отечность ног и живота;
- Приступы стенокардии;
- Обмороки;
- Общая слабость и вялость;
- Охлаждение конечностей.
Если такие склеротические изменения наблюдаются у взрослых, то постмиокардический кардиосклероз может развиваться и у детей с подростками, особенно на фоне ревматизма или острых и хронических вирусных, бактериальных и герпетических инфекций.
Лечение постмиокардического склероза направлено на облегчение состояния пациента: необходимо контролировать аритмию, отеки и купировать приступы стенокардии.
Пациентам назначаются специальные медикаменты, некоторые из которых принимаются курсами, а другие — на постоянной основе. Важную роль в терапии играет и диета, которая помогает снизить нагрузку на сердце и сосуды, включая мочегонные отвары, а также фрукты и овощи, богатые калием и магнием.

Атеросклеротический кардиосклероз
Атеросклеротические бляшки, формирующиеся на стенках сердечных сосудов, препятствуют нормальному кровообращению и полноценному снабжению сердца, мозга и других органов кислородом и питательными веществами.
Накопление холестерина заставляет сердце работать с повышенной нагрузкой для прокачки крови, что со временем приводит к увеличению размера левого желудочка, а ткани сердца начинают страдать от недостатка кислорода. Измученный миокард образует ишемизированные участки, которые в конечном итоге отмирают.
Так возникает атеросклеротический кардиосклероз – одно из наиболее распространенных последствий атеросклеротического поражения сосудов.
При этом заболевании происходит постепенное замещение мертвых участков соединительной тканью, которая образует грубые рубцы, нарушающие способность сердца сокращаться.
Во время обследования у пациентов обнаруживается увеличение сердца и смещение его границ влево, также могут быть выявлены мерцательная аритмия и экстрасистолы.
Клиническая картина данной патологии включает следующие симптомы:
- Одышка;
- Сердечная астма;
- Левожелудочковая недостаточность, проявляющаяся застойными хрипами в нижних долях легких;
- Асцит и периферические отеки;
- Мерцательная аритмия;
- Нарушения проводимости нервных импульсов.
Со временем к левожелудочковой недостаточности присоединяется и правожелудочковая.
Атеросклеротический кардиосклероз также сопровождается стойкой гипертензией и нарушениями в работе мозга и других органов, которые также испытывают кислородное голодание.
Для диагностики этого заболевания применяются ЭКГ, УЗИ и методы МРТ, позволяющие оценить характер и площадь поражения сердечной мышцы, а также спрогнозировать дальнейшее течение болезни.
Поскольку некротизированные участки миокарда, как и любая отмершая ткань, не подлежат восстановлению, лечение атеросклеротического кардиосклероза носит симптоматический характер – целью является снижение артериального давления до нормальных значений, уменьшение отеков и улучшение сердечного ритма.
Что предлагает народная медицина
Необходимо понимать, что атеросклеротический кардиосклероз, как и другие виды рубцевания миокарда, не поддается полному излечению. Это связано с тем, что вернуть к жизни то, что уже погибло, пока не удалось никому.
Тем не менее, народные средства в сочетании с строгой противоатеросклеротической диетой, лечением хронических инфекций и другими терапевтическими мерами могут значительно улучшить состояние пациентов и повысить качество их жизни.
Использование народных рецептов также направлено на устранение симптомов кардиосклероза, как и традиционные медицинские подходы:
- Устранение отеков
- Нормализация сердечного ритма
- Облегчение симптомов стенокардии
- Снижение уровня плохого холестерина
На протяжении многих лет в народной медицине применяются отвары пустырника, валерианы и софоры японской для снижения частоты сердцебиения и улучшения ритма. Для борьбы с отеками используются мочегонные средства, такие как отвары из брусничных листьев, ортосифона (почечного чая), розмарина и любистка.
Для борьбы с холестериновыми отложениями полезны тыквенный сок, настои шиповника и отвар из цветков гречихи.
Эффективным средством против атеросклероза считается настойка или отвар золотого уса: благодаря высокому содержанию антиоксидантов это средство способствует очищению организма, укреплению иммунной системы и нормализации обменных процессов.
Среди овощей, помогающих в борьбе с атеросклерозом, выделяются клубни топинамбура: их необходимо тщательно промыть, очистить, натереть на мелкой терке и отжать сок, который следует употреблять по полстакана трижды в день перед едой.
Любители чеснока могут использовать его как незаменимое средство: его следует есть в сыром виде, а также готовить чесночное масло, залив кашицу из одной головки чеснока стаканом рафинированного растительного масла и оставив настояться в холодильнике на неделю.
Это масло принимают по чайной ложке после каждого приема пищи в течение трех месяцев.
Кардиосклероз является результатом многолетнего пренебрежения и легкомысленного отношения к своему здоровью: наступает момент, когда трудолюбивое сердце не выдерживает нагрузки и начинает постепенно угасать. Не позволяйте образовываться рубцам на сердце — они хороши только в метафорах, а в реальной жизни приносят множество страданий. Заботьтесь о своем сердце!
Вопрос-ответ
Что такое кардиосклероз и как он развивается?
Кардиосклероз — это заболевание, характеризующееся замещением нормальной сердечной ткани соединительной тканью, что приводит к ухудшению функции сердца. Он может развиваться в результате различных факторов, таких как ишемическая болезнь сердца, гипертония, воспалительные процессы или перенесенные инфаркты миокарда.
Какие симптомы могут указывать на наличие кардиосклероза?
Симптомы кардиосклероза могут включать одышку, усталость, боли в груди, сердцебиение и отеки. В некоторых случаях заболевание может протекать бессимптомно, что делает его диагностику более сложной.
Как осуществляется диагностика кардиосклероза?
Диагностика кардиосклероза включает в себя клинический осмотр, анализы крови, электрокардиограмму (ЭКГ), эхокардиографию и, при необходимости, коронарографию. Эти методы помогают оценить состояние сердца и выявить наличие изменений в его структуре.
Советы
СОВЕТ №1
Регулярно проходите медицинские обследования. Раннее выявление кардиосклероза может значительно улучшить прогноз и качество жизни. Обязательно контролируйте уровень холестерина и артериальное давление.
СОВЕТ №2
Следите за своим питанием. Употребляйте больше фруктов, овощей и цельнозерновых продуктов, а также ограничьте потребление насыщенных жиров и соли. Здоровое питание поможет снизить риск сердечно-сосудистых заболеваний.
СОВЕТ №3
Занимайтесь физической активностью. Регулярные умеренные физические нагрузки, такие как прогулки, плавание или йога, могут укрепить сердечно-сосудистую систему и улучшить общее состояние здоровья.
СОВЕТ №4
Избегайте стрессов и научитесь методам релаксации. Стресс может негативно влиять на здоровье сердца, поэтому важно находить время для отдыха и занятий, которые приносят вам радость и расслабление.




