Классификация
Существует несколько типов лейкоэнцефалопатии.
Лейкоэнцефалопатия головного мозга представляет собой группу заболеваний, характеризующихся поражением белого вещества мозга. Врачи выделяют несколько видов, среди которых наиболее распространены лейкоэнцефалопатия, связанная с нарушением кровообращения, и метаболическая лейкоэнцефалопатия. Диагностика этих заболеваний включает в себя магнитно-резонансную томографию, которая позволяет визуализировать изменения в белом веществе, а также анализы на выявление возможных метаболических нарушений. Лечение зависит от причины заболевания и может включать медикаментозную терапию, направленную на улучшение мозгового кровообращения, а также реабилитационные мероприятия. Врачи подчеркивают важность ранней диагностики и комплексного подхода к лечению для достижения наилучших результатов.

Мелкоочаговая
Это сосудистая лейкоэнцефалопатия, представляющая собой хроническое заболевание, возникающее на фоне повышенного артериального давления. Она также известна как прогрессирующая сосудистая лейкоэнцефалопатия или субкортикальная атеросклеротическая энцефалопатия.
Дисциркуляторная энцефалопатия, характеризующаяся медленно прогрессирующим диффузным поражением сосудов головного мозга, имеет схожие клинические проявления с мелкоочаговой лейкоэнцефалопатией. Ранее это заболевание входило в Международную классификацию болезней десятого пересмотра (МКБ-10), но в настоящее время оно из нее исключено.
Наиболее часто мелкоочаговую лейкоэнцефалопатию выявляют у мужчин старше 55 лет, которые имеют генетическую предрасположенность к данному заболеванию.
К группе риска относятся пациенты с такими заболеваниями, как:
- атеросклероз (образование холестериновых бляшек, которые сужают сосуды и нарушают кровоснабжение мозга);
- сахарный диабет (при этом заболевании кровь становится более вязкой, что замедляет ее движение);
- врожденные и приобретенные заболевания позвоночника, которые могут ухудшать кровоснабжение мозга;
- ожирение;
- алкоголизм;
- зависимость от никотина.
Кроме того, неправильное питание и малоподвижный образ жизни также способствуют развитию этой патологии.
| Вид лейкоэнцефалопатии | Диагностические методы | Лечение |
|---|---|---|
| Ишемическая лейкоэнцефалопатия (включая сосудистую) | МРТ головного мозга (выявление очагов белого вещества), КТ головного мозга, допплерография сосудов головы и шеи, анализ крови (липидограмма, коагулограмма) | Контроль артериального давления, коррекция факторов риска (курение, гиперлипидемия, сахарный диабет), антиагрегантная терапия (аспирин), в тяжелых случаях – тромболизис |
| Токсическая лейкоэнцефалопатия (алкогольная, наркотическая, лекарственная) | МРТ головного мозга, анализ крови (биохимический, токсикологический), анализ мочи | Устранение воздействия токсического фактора, симптоматическое лечение (коррекция электролитного баланса, дезинтоксикация), поддержка функций организма |
| Гипоксическая лейкоэнцефалопатия | МРТ головного мозга, ЭЭГ, оценка газового состава крови | Кислородотерапия, коррекция дыхательной недостаточности, симптоматическое лечение |
| Радиационная лейкоэнцефалопатия | МРТ головного мозга, оценка истории лучевой терапии | Симптоматическое лечение (кортикостероиды в некоторых случаях), нейропротекторы |
| Лейкодистрофии (генетические заболевания) | МРТ головного мозга, генетическое тестирование | Симптоматическое лечение, генная терапия (в перспективе) |
| Прогрессирующая мультифокальная лейкоэнцефалопатия (ПМЛ) (вирусная инфекция) | МРТ головного мозга, ПЦР-диагностика вируса JC | Антивирусная терапия (эффективность ограничена) |
Прогрессирующая мультифокальная лейкоэнцефалопатия
Это наиболее опасная форма заболевания, которая часто приводит к летальному исходу. Патология имеет вирусное происхождение.
Возбудителем является полиомавирус человека 2. Этот вирус присутствует у 80% населения, однако заболевание развивается только у людей с первичными и вторичными иммунодефицитами. У таких пациентов вирусы, проникая в организм, еще больше ослабляют иммунную систему.
Прогрессирующая многоочаговая лейкоэнцефалопатия диагностируется у 5% пациентов с ВИЧ и у половины больных СПИДом. Ранее эта форма встречалась гораздо чаще, но благодаря антиретровирусной терапии (ВААРТ) ее распространенность значительно снизилась. Клинические проявления заболевания разнообразны.
Среди симптомов можно выделить:
- периферические парезы и параличи;
- одностороннюю гемианопсию;
- синдром оглушения сознания;
- изменения личности;
- поражение черепно-мозговых нервов;
- экстрапирамидные синдромы.
Нарушения со стороны центральной нервной системы могут варьироваться от легкой дисфункции до выраженного слабоумия. Возможны проблемы с речью и полная потеря зрения. Часто у пациентов развиваются серьезные нарушения опорно-двигательного аппарата, что приводит к потере трудоспособности и инвалидности.
В группу риска входят следующие категории людей:
- пациенты с ВИЧ и СПИДом;
- получающие лечение моноклональными антителами (назначаемыми при аутоиммунных и онкологических заболеваниях);
- перенесшие пересадку органов и принимающие иммунодепрессанты для предотвращения отторжения;
- страдающие злокачественной гранулемой.
Лейкоэнцефалопатия головного мозга — это заболевание, поражающее белое вещество мозга, что может приводить к различным неврологическим нарушениям. Люди часто обсуждают его виды, среди которых выделяют врожденную и приобретенную формы. Врожденная лейкоэнцефалопатия, как правило, связана с генетическими мутациями, тогда как приобретенная может возникать из-за инфекций, токсических воздействий или сосудистых заболеваний. Диагностика включает в себя МРТ, которое позволяет визуализировать изменения в белом веществе, а также анализы крови и другие исследования. Лечение зависит от причины заболевания и может включать медикаментозную терапию, реабилитацию и поддерживающую помощь. Многие пациенты и их семьи сталкиваются с трудностями в понимании болезни, что подчеркивает важность информирования и поддержки со стороны медицинских специалистов.

Перивентрикулярная (очаговая) форма
Развивается в результате хронического недостатка кислорода и нарушений кровоснабжения головного мозга. Ишемические зоны могут находиться как в белом, так и в сером веществе.
Чаще всего патологические участки располагаются в мозжечке, стволе мозга и лобной коре больших полушарий. Эти области мозга играют ключевую роль в управлении движениями, поэтому при возникновении данной формы патологии наблюдаются нарушения двигательной функции.
Эта разновидность лейкоэнцефалопатии встречается у детей, которые страдают от заболеваний, связанных с гипоксией во время родов и в первые дни после рождения. Также данное состояние известно как «перивентрикулярная лейкомаляция», и обычно оно приводит к развитию детского церебрального паралича (ДЦП).
Лейкоэнцефалопатия с исчезающим белым веществом
Данная патология выявляется у детей. Первые признаки заболевания могут проявляться у пациентов в возрасте от 2 до 6 лет и возникают в результате генетической мутации.
У таких пациентов наблюдаются следующие симптомы:
- нарушения координации движений, связанные с повреждением мозжечка;
- слабость в руках и ногах;
- ухудшение памяти, снижение умственной активности и другие когнитивные расстройства;
- атрофия зрительного нерва;
- эпилептические приступы.
У детей младше одного года могут возникать проблемы с кормлением, рвота, высокая температура, задержка психического развития, повышенная возбудимость, повышенный тонус мышц конечностей, судороги, ночное апноэ и даже кома.

Клиническая картина
Признаки лейкоэнцефалопатии, как правило, развиваются постепенно. На начальных этапах заболевания пациент может проявлять рассеянность, неловкость и безразличие к окружающему. У него могут возникать слезливость, трудности с произношением сложных слов и снижение умственной активности.
С течением времени добавляются проблемы со сном, повышается мышечный тонус, больной становится более раздражительным, у него могут наблюдаться непроизвольные движения глаз и шум в ушах.
Если не начать лечение лейкоэнцефалопатии на этой стадии, заболевание продолжает прогрессировать, что может привести к психоневрозу, выраженному слабоумию и судорогам.
К основным симптомам этого заболевания относятся:
- двигательные нарушения, проявляющиеся в виде проблем с координацией и слабости в конечностях;
- возможный односторонний паралич рук или ног;
- расстройства речи и зрения (скотома, гемианопсия);
- онемение различных участков тела;
- затруднения при глотании;
- недержание мочи;
- эпилептические приступы;
- снижение интеллекта и легкое слабоумие;
- тошнота;
- головные боли.
Все симптомы, связанные с поражением нервной системы, развиваются очень быстро. У пациента может наблюдаться ложный бульбарный паралич, а также паркинсонический синдром, который проявляется нарушениями походки, письма и дрожанием тела.
Почти у всех пациентов отмечается снижение памяти и интеллекта, а также неустойчивость при смене положения тела или во время ходьбы.
Часто люди не осознают, что страдают от болезни, и именно поэтому к врачу их обычно приводят родственники.
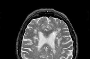
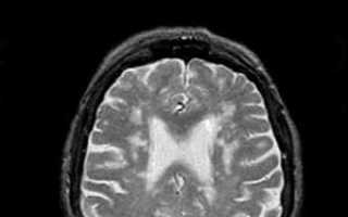
Диагностика
Для установления диагноза «лейкоэнцефалопатия» специалист проведет всестороннее обследование. В этом процессе потребуются:
- консультация невролога;
- общий анализ крови;
- анализ крови на наличие наркотических и психотропных веществ, а также алкоголя;
- магнитно-резонансная и компьютерная томография, которые помогут выявить патологические изменения в головном мозге;
- электроэнцефалография, позволяющая оценить уровень активности мозга;
- ультразвуковая допплерография, которая помогает обнаружить нарушения кровообращения в сосудах;
- ПЦР-диагностика для выявления ДНК возбудителей в мозговых тканях;
- биопсия головного мозга;
- спинномозговая пункция, которая может показать повышенное содержание белка в спинномозговой жидкости.
Если врач подозревает, что причиной лейкоэнцефалопатии является вирусная инфекция, он может назначить электронную микроскопию, чтобы обнаружить в тканях головного мозга частицы вируса.
Иммуноцитохимический анализ позволяет выявить антигены микроорганизмов. При таком течении болезни в спинномозговой жидкости может наблюдаться лимфоцитарный плеоцитоз.
Кроме того, для диагностики могут быть использованы тесты на психологическое состояние, память и координацию движений.
Дифференциальная диагностика включает в себя такие заболевания, как:
- токсоплазмоз;
- криптококкоз;
- ВИЧ-ассоциированная деменция;
- лейкодистрофия;
- лимфома центральной нервной системы;
- подострый склерозирующий панэнцефалит;
- рассеянный склероз.
Терапия
Лейкоэнцефалопатия является заболеванием, которое на сегодняшний день не поддается полному излечению. Тем не менее, важно обратиться в медицинское учреждение для подбора соответствующего медикаментозного лечения. Основная задача терапии заключается в замедлении прогрессирования болезни и восстановлении функций головного мозга.
Лечение лейкоэнцефалопатии носит комплексный характер и включает как симптоматическую, так и этиотропную терапию. Каждый случай требует индивидуального подхода.
Врач может назначить следующие группы препаратов:
- средства, способствующие улучшению мозгового кровообращения (например, Винпоцетин, Актовегин, Трентал);
- нейрометаболические стимуляторы (такие как Фезам, Пантокальцин, Луцетам, Церебролизин);
- ангиопротекторы (например, Стугерон, Курантил, Зилт);
- поливитаминные комплексы, содержащие витамины группы В, ретинол и токоферол;
- адаптогены, включая экстракт алоэ и стекловидное тело;
- глюкокортикостероиды, помогающие снизить воспаление (например, Преднизолон, Дексаметазон);
- антидепрессанты (такие как Флуоксетин);
- антикоагулянты, которые помогают уменьшить риск тромбообразования (например, Гепарин, Варфарин);
- при вирусной природе заболевания могут быть назначены Зовиракс, Циклоферон, Виферон.
Также рекомендуется:
- физиотерапия;
- рефлексотерапия;
- акупунктура;
- дыхательные упражнения;
- гомеопатические средства;
- фитотерапия;
- массаж области шеи и плеч;
- мануальная терапия.
Сложность лечения заключается в том, что многие противовирусные и противовоспалительные препараты не способны преодолевать гематоэнцефалический барьер, что ограничивает их эффективность в воздействии на патологические процессы.
Прогноз при лейкоэнцефалопатии
На сегодняшний день данное заболевание считается неизлечимым и, как правило, приводит к летальному исходу. Продолжительность жизни людей с лейкоэнцефалопатией во многом зависит от того, насколько оперативно была начата противовирусная терапия.
Если лечение не проводится, то срок жизни пациента обычно не превышает шести месяцев с момента диагностики изменений в мозговых структурах.
В случае начала антивирусной терапии, срок жизни может увеличиться до 1-1,5 лет.
Также зафиксированы случаи острого течения заболевания, когда пациент умирал всего через месяц после его начала.
Профилактика
Специфическая профилактика лейкоэнцефалопатии отсутствует.
Чтобы уменьшить вероятность возникновения этого заболевания, рекомендуется следовать следующим рекомендациям:
- укреплять иммунную систему с помощью закаливания и приема витаминно-минеральных добавок;
- контролировать свой вес;
- вести активный образ жизни;
- регулярно проводить время на свежем воздухе;
- избегать употребления наркотиков и алкоголя;
- отказаться от курения;
- избегать случайных половых связей;
- при случайных интимных контактах использовать презервативы;
- придерживаться сбалансированного питания, включая в рацион больше овощей и фруктов;
- научиться эффективно справляться со стрессом;
- выделять достаточное время для отдыха;
- избегать чрезмерных физических нагрузок;
- при наличии сахарного диабета, атеросклероза или артериальной гипертензии принимать назначенные врачом препараты для контроля заболеваний.
Следуя этим рекомендациям, можно существенно снизить риск развития лейкоэнцефалопатии. В случае возникновения заболевания важно незамедлительно обратиться за медицинской помощью и начать лечение, что поможет продлить жизнь.
Вопрос-ответ
Какие основные виды лейкоэнцефалопатии существуют?
Существует несколько видов лейкоэнцефалопатии, среди которых наиболее распространены: прогрессирующая мультифокальная лейкоэнцефалопатия (ПМЛ), которая часто связана с ВИЧ-инфекцией, и лейкоэнцефалопатия, вызванная гипоксией или ишемией. Также выделяют лейкоэнцефалопатию, связанную с метаболическими нарушениями и наследственными заболеваниями.
Как проводится диагностика лейкоэнцефалопатии?
Диагностика лейкоэнцефалопатии обычно включает в себя магнитно-резонансную томографию (МРТ) для визуализации изменений в белом веществе мозга. Также могут быть назначены анализы крови, исследования ликвора и другие методы, чтобы исключить другие заболевания и установить точный диагноз.
Каковы основные методы лечения лейкоэнцефалопатии?
Лечение лейкоэнцефалопатии зависит от ее типа и причины. В некоторых случаях может потребоваться антиретровирусная терапия для лечения ПМЛ, в других — поддерживающая терапия для улучшения качества жизни. Важно также лечить сопутствующие заболевания и проводить реабилитацию для восстановления функций мозга.
Советы
СОВЕТ №1
Регулярно проходите медицинские обследования, особенно если у вас есть предрасположенность к заболеваниям нервной системы. Это поможет выявить возможные проблемы на ранних стадиях.
СОВЕТ №2
Обратите внимание на свое питание и образ жизни. Здоровая диета, физическая активность и отказ от вредных привычек могут снизить риск развития лейкоэнцефалопатии и других заболеваний мозга.
СОВЕТ №3
Если у вас появились симптомы, такие как ухудшение памяти, изменения в поведении или проблемы с координацией, не откладывайте визит к врачу. Раннее обращение за медицинской помощью может значительно улучшить прогноз.
СОВЕТ №4
Изучите информацию о различных видах лейкоэнцефалопатии и их симптомах. Это поможет вам лучше понимать свое состояние и задавать правильные вопросы врачу.





